La santé bucco-dentaire fait partie intégrante de notre santé globale. Nous travaillons avec une équipe dotée d'une technologie moderne et d'une expertise pour offrir le meilleur service à nos patients. Sur cette page, nous partageons en détail les étapes du traitement afin que vous puissiez voir le processus complet de traitement des implants buccaux à travers les yeux de nos patients.
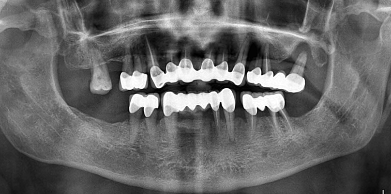
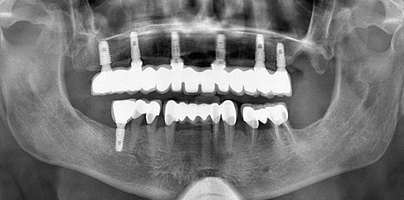
La première étape du processus de traitement consiste à prendre des images radiographiques détaillées. Ces images aident à déterminer le plan de traitement le plus approprié en évaluant la structure de votre mâchoire et votre santé dentaire. Nos radiographies révèlent à quel point le processus de traitement est extrêmement minutieux.




Dans les étapes ultérieures, vous pouvez regarder des vidéos sur la façon de placer des implants et de produire des prothèses. Ces vidéos visent à fournir une perspective informative à nos patients en montrant chaque étape du processus. Chaque étape est réalisée minutieusement par nos médecins experts.
Une fois le traitement terminé, vous pourrez visionner nos entretiens avec nos patients et entendre leurs expériences. Ces entretiens, qui racontent comment leur qualité de vie s’est améliorée en peu de temps et la valeur ajoutée du traitement implantaire à leur santé, seront une source d’inspiration pour nos autres patients.
Nous considérons toujours la satisfaction de nos patients comme une priorité. Nous vous accompagnons à chaque étape du traitement par implants buccaux complets. Nous sommes heureux de vous aider à faire le bon choix pour votre santé et votre sourire.